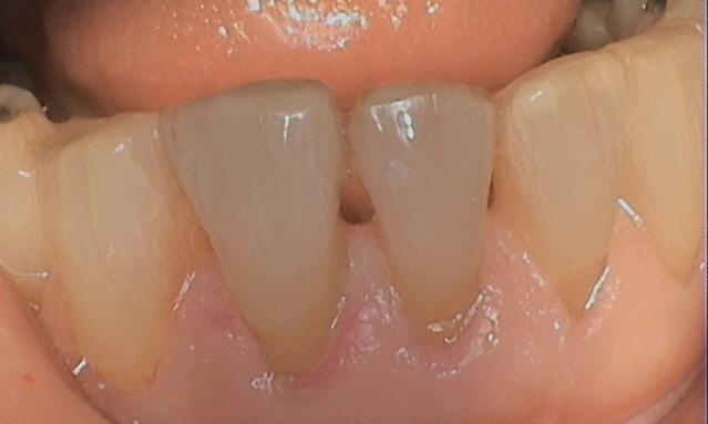
The patient was unhappy with the worn appearance of her teeth and the spaces between them. Normally, we would consider porcelain veneers for a beautiful and long-term result but she had limited financial resources. We managed to use the minimally invasive BioClear Method to restore the teeth with a natural look and colour without breaking the bank!
