Porcelain Veneers Burnaby
Many times, patients come to us and want to improve the appearance of their smiles. We completely understand this since most people want to feel healthy and look healthy, too.
Cosmetic dentistry is a good way to take years off your appearance so that you can better express your unique individuality with your ideal smile.
As we age, our teeth begin to show signs of wear and tear, which can cause you to look older than you really are. With a bright healthy smile, you can feel confident that you are presenting your best self to the world.
Perhaps you have never felt good about your teeth and want to change everything as quickly as possible for a special occasion – or simply because you are ready for a change. At Central Park Dental Clinic, we have solutions for small cosmetic changes as well as full smile makeovers.
What Are Dental Veneers?
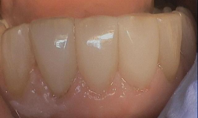
Dental veneers are thin porcelain covers that fit over your natural tooth structure. We can collaborate to choose the correct shade, shape, and size so that your dentistry looks like it fits perfectly with your facial features. Porcelain dental veneers can correct many cosmetic problems and improve the appearance of worn, chipped, damaged, discolored, and misaligned teeth. In fact, dental veneers can give you an entirely new look in just a few appointments.
Having dental veneers is a lifelong choice. Once we prep your teeth, your veneers are permanent. Depending on your lifestyle, they can last a long time – even decades.
Making smart decisions when it comes to your dentistry can go a long way toward protecting their longevity. For instance, never use your teeth as tools and wear a nightguard if you clench and grind your teeth while you sleep. These simple measures can protect your porcelain veneers from damage.
How Do Porcelain Dental Veneers Work?
When you come to our Burnaby, BC dental office, you will meet with Dr. Roger Chan, Dr. Jennifer Rensen, Dr. Fanny Chu, or Dr. John Day to discuss your concerns about your smile. We will evaluate your smile’s health and appearance and provide you with treatment options to give you as many choices as possible.
Once you decide to move forward with porcelain veneers, we will schedule an appointment to prep your teeth and provide you with temporary veneers while your custom veneers are created by our trusted dental lab. We will discuss colour and shading to make sure that your veneers match the rest of your smile.
When we receive your permanent veneers, we will bond them to your natural tooth structure and make any final adjustments necessary to ensure proper occlusion (bite).
Modern Dental Bonding with BioClear Technology
If you have excessive spaces between your teeth due to orthodontics or if your teeth look too short, we offer a new innovative technology to replace dental bonding called BioClear. BioClear creates a mold over your teeth with varying thickness in order to solve some common aesthetic issues. From filling in the dark triangles between your teeth after orthodontics to fixing minor flaws and chips, we can create a completely natural look that is both seamless and durable.
Call Our Burnaby Office to Schedule a Cosmetic Evaluation
If you would like to learn more about dental veneers or any other type of cosmetic dental procedure, please give us a call. We have versatile options to meet every lifestyle, and we look forward to giving you the beautiful smile you have always wanted.
Frequently Asked Questions
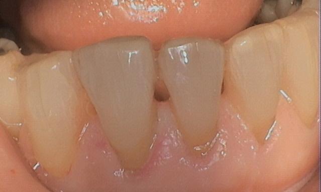
The porcelain veneers process is multi-step. If you have chipped, cracked, discolored or uneven teeth you may be a candidate for this dental procedure. At Central Park Dental Clinic, we work passionately to provide you with a beautiful smile.
Veneers Procedure
If you think you could be a good candidate for dental veneers, the first step is to arrange a consultation with your cosmetic dentist. During your initial assessment, you can outline your smile goals to go over your dental options. During this time, an impression of your teeth may be made.
Once your impressions have been fabricated, your tooth will be prepped for the composite veneer. Generally, a small amount of tooth enamel may be removed, and your dentist will provide temporary veneers. At your next appointment, the temporary veneers will be replaced with your permanent porcelain veneers. Porcelain veneers are bonded to your tooth and resist staining, making them a natural-looking smile enhancer.
Find Out More About Dental Veneers in Burnaby
With careful maintenance, your porcelain veneers can last for a long time and will improve your smile. When you make an appointment with your dental team in Burnaby, BC, you will meet with Dr. Roger Chan, Dr. Jennifer Rensen, or Dr. Fanny Chu.
How long your dentistry and your natural teeth will last depends on you. When we provide dentistry and restorative work for patients, we recommend certain dental care routines to improve the longevity of your restorations so you can protect your investment.
How to Care for Your Dental Veneers
Here are some ways that you can prolong the life of your dental veneers:
Don’t skimp on brushing and flossing – Make sure you brush your teeth for at least two minutes twice daily and that you floss your teeth properly. This step alone can dramatically improve the length of time you can enjoy your porcelain veneers.
Follow the six-month rule – Having dental exams and cleanings at a minimum of every six months will help us help you. Even when you brush and floss, you can still develop tartar and decay. Regular dental exams will help minimize this problem and protect your smile.
Don’t chew that – Avoiding bad habits like crunching ice can protect your natural teeth and your dentistry. Veneers are strong, but you can damage them by biting down on hard substances.
Mind your grind – If you grind your teeth during sleep, opting for a nightguard will help minimize the damage your veneers suffer.
Contact Our V5H 1Y8 Dental Clinic
For more information about veneers, contact our Burnaby, BC dental office. We offer a wide range of cosmetic dentistry services to improve your smile. We will also provide valuable information regarding taking care of your teeth.
Veneers provide the most dramatic results as part of your cosmetic dentistry treatment plan. We provide beautiful dental veneers in our Burnaby, BC dental office as a solution to many aesthetic problems.
Adds Length to Worn Teeth
A chronic teeth grinding habit, called bruxism, can lead to worn down or short-looking teeth. Dental veneers add length so that your smile looks young and natural again.
Dental veneers can wear or break when constantly exposed to teeth grinding. Wearing a nightguard every night can protect them, along with your natural teeth.
Improves Tooth Colour
Medications, demineralisation, and deep stains may keep you from smiling. Veneers completely cover teeth and can improve colour. In some cases, teeth whitening before you have veneers will give you even better results.
Close Gaps Between Teeth
A gap between teeth can be embarrassing, but having braces seems a bit extreme. In some cases, porcelain veneers can close gaps between teeth without braces or Invisalign. This reduces treatment time and the steps involved in achieving your dream smile.
Make Teeth Look Uniform
If you have one or two teeth that look out of place, porcelain veneers can make your smile look perfect and uniform.
Contact Our Burnaby Dental Clinic
For more information about dental veneers in Burnaby, BC, give us a call!
Meet Our Doctors:
Roger Chan DMD
Dr. Roger Chan graduated from UBC more than twelve years ago, and his focus in dentistry is to provide gentle dental care to restore function and beautiful smiles. He understands ...
Jennifer Rensen DMD
Dr. Rensen is a member of the Canadian Dental Association, College of Dental Surgeons of British Columbia, and the International Team for Implantology. She stays involved in many study clubs ...
Fanny Chu DMD
Dr. Fanny Chu was born in Taiwan and came to Canada at an early age. She grew up in Richmond, attending Cambie Jr. High, Richmond Sr. High and then the ...
John Day BDS
After over 30 years of practicing, Dr. Day is ready for retirement. We are sad to see him go and wish him the best in a happy retirement! He will ...
Featured Blog Posts - Veneers
Who Is a Good Candidate for Veneers?
Perhaps the most stunning and dramatic cosmetic dentistry treatment available, veneers recreate smiles for our Burnaby, BC patients. Many people choose veneers because they want exceptional results in a single treatment.
Who is a good candidate for veneers? Let’s explore some of the cases where veneers gave our patients the smile they have been dreaming of for all of their lives.
Teeth Are Dark or Discoloured
Tetracycline stains, internal stains, and naturally dark teeth often cause patients to feel self-conscious about their smiles. Many stains are resistant to professional teeth whitening options. ...
What Goes on During a Cosmetic Dental Evaluation?
If you find yourself covering your mouth when you smile or feeling self-conscious when you see pictures of yourself online, it might be time to look into cosmetic dentistry in Burnaby, BC. Because we cannot give you accurate information about your specific needs without actually seeing your teeth, the best way to find out how to improve your smile is by speaking with one of our talented and experienced dentists.
Cosmetic Dentistry Consultation
A cosmetic dentistry consultation is a low-stress appointment. At Central Park Dental Clinic, we are not in the business ...
